Chăm Sóc Răng Sứ Veneer Đúng Cách
Răng sứ veneer là một giải pháp thẩm mỹ phổ biến để cải thiện nụ cười. Để bảo vệ và duy trì răng sứ veneer trong tình trạng tốt nhất, việc chăm sóc đúng cách là rất quan trọng. Bài viết này sẽ hướng dẫn chi tiết về các phương pháp chăm sóc, nguyên tắc và lưu ý cần thiết để duy trì sự hoàn hảo của răng sứ veneer.
>>Xem thêm: Dán sứ veneer ở đâu tốt
1. Chuẩn Bị Trước Khi Cấy Răng Sứ Veneer
1.1. Thăm Khám Và Lựa Chọn Răng Sứ Phù Hợp
Trước khi cấy răng sứ veneer, việc thăm khám bởi bác sĩ nha khoa là bước quan trọng đầu tiên. Bác sĩ sẽ kiểm tra tình trạng sức khỏe nha khoa, đánh giá răng miệng và tư vấn về lựa chọn loại răng sứ phù hợp nhất. Điều này giúp đảm bảo rằng răng sứ veneer được cấy vào vị trí chính xác và phù hợp với khuôn mặt cũng như dáng vóc của bệnh nhân.
1.2. Chuẩn Bị Răng Nền
Trước khi cấy răng sứ veneer, răng nền cần được chuẩn bị một cách cẩn thận. Quá trình này bao gồm làm sạch răng và loại bỏ một lượng nhỏ men răng để tạo không gian cho răng sứ veneer. Việc chuẩn bị này giúp răng sứ được cấy vào vị trí ổn định và không gây cảm giác bất tiện cho bệnh nhân.
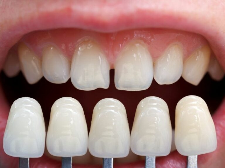
1.3. Chọn Màu Sắc Và Hình Dạng Răng Sứ
Việc chọn màu sắc và hình dạng của răng sứ veneer là một quyết định quan trọng, ảnh hưởng trực tiếp đến thẩm mỹ của nụ cười. Bác sĩ nha khoa sẽ cùng bệnh nhân lựa chọn màu sắc và hình dạng phù hợp với nụ cười tự nhiên của bệnh nhân, từ đó tạo ra kết quả thẩm mỹ tối ưu.
2. Chăm Sóc Sau Khi Cấy Răng Sứ Veneer
2.1. Vệ Sinh Răng Miệng Hằng Ngày
Sau khi cấy răng sứ veneer, việc vệ sinh răng miệng hàng ngày là bước quan trọng để duy trì sự sạch sẽ và bảo vệ răng sứ. Bệnh nhân nên đánh răng ít nhất hai lần một ngày và sử dụng chỉ dệt để vệ sinh các kẽ răng. Việc vệ sinh thường xuyên giúp ngăn ngừa sự hình thành của mảng bám và các vết bẩn trên bề mặt răng sứ.
>>Link: https://tipsrangdep.blogspot.com/2024/07/cham-soc-rang-su-veneer-ung-cach.html
2.2. Tránh Thói Quen Gây Hại Cho Răng Sứ
Để bảo vệ răng sứ veneer, bệnh nhân nên tránh các thói quen có thể gây hại như cắn móng tay, dùng răng để cắn các vật liệu cứng, hoặc nhai các vật liệu như bút bi. Những hành động này có thể làm hỏng hoặc làm sứ veneer bị trầy xước, giảm đi tính thẩm mỹ và độ bền của răng sứ.
2.3. Định Kỳ Kiểm Tra Và Bảo Trì
Định kỳ kiểm tra và bảo trì răng sứ veneer là cách tối ưu để đảm bảo chúng luôn trong tình trạng tốt nhất. Bác sĩ nha khoa sẽ thường xuyên kiểm tra và làm sạch răng sứ, đánh bóng lại nếu cần thiết để duy trì vẻ đẹp và sự chắc chắn của chúng. Việc này cũng giúp phát hiện sớm các vấn đề có thể xảy ra và có biện pháp điều trị kịp thời.
3. Các Lưu Ý Đặc Biệt Về Răng Sứ Veneer
3.1. Hạn Chế Sử Dụng Đồ Uống Gây Ố Vàng
Răng sứ veneer có thể bị ố vàng nếu tiếp xúc với các loại đồ uống như cà phê, trà đen, rượu vang, hay nước ngọt có gas. Bệnh nhân nên hạn chế sử dụng những thức uống này để duy trì màu sắc răng sứ
3.2. Bảo Vệ Răng Sứ Trong Thể Thao
Đối với những người tham gia các hoạt động thể thao, đặc biệt là các môn thể thao tiếp xúc, nên đeo một chiếc miếng bảo vệ răng. Điều này giúp bảo vệ răng sứ veneer khỏi các va đập và tổn thương do tai nạn trong khi vận động.
3.3. Không Tự Ý Điều Chỉnh Răng Sứ
Nếu có bất kỳ vấn đề gì liên quan đến răng sứ veneer như lỏng hoặc mất, bệnh nhân không nên tự ý điều chỉnh mà nên nhanh chóng thăm khám bác sĩ nha khoa. Tự ý điều chỉnh có thể gây hại và dẫn đến tình trạng răng sứ bị hư hỏng nghiêm trọng.
Việc chăm sóc răng sứ veneer đòi hỏi sự kỹ lưỡng và chu đáo để đảm bảo hiệu quả thẩm mỹ và bền vững. Bằng việc tuân thủ các nguyên tắc và lưu ý trên, bệnh nhân sẽ có được nụ cười rạng rỡ và tự tin suốt đời.


Nhận xét
Đăng nhận xét